adriapel Inviato 27 Gennaio, 2011 #1 Inviato 27 Gennaio, 2011 Cari amici del forum vorrei argomentare sul ritratto monetale di Cesare negli ultimi 3 mesi di vita. I monetieri del 44 erano Mettius, Buca, Macer e Maridianus che sostituiì Mettius. Ebbene lo stile del ritratto di Cesare varia e peggiora nel tempo. Mentre la moneta di Mettius rappresenta il volto di Cesare disteso e meno rugoso le successive monete mettono in evidenza una deterioramento e un invecchiamento dal punto di vista stilistico. Cesare viene ad essere rappresentato dimagrito, con collo allungato e ricco di rughe. In particolar modo la moneta da me postata di Macer CAESAR IMP, anche se non in buone condizione, mostra un Cesare molto provato con mascella molto accentuata e ricco di rughe. Che è accaduto negli ultimi mesi del 44?. Giulio Cesare era ammalato?. Appiano accenna a Cesare come fisicamente bello e di buona costituzione, analogamente Dione Cassio accenna ad un uomo dotato di fisico eccellente e lo definisce robustissimo e bellissimo. Viene però riferito che nel 45 a C Giulio Cesare ebbe il primo attacco epilettico, questo avvenne durante la guerra civile con Pompeo ed in particolare durante l’assedio di Cordova (Plutarco). L’attacco di epilessia avuto da Cesare e descritto nel 45 a C sicuramente è riferibile ad un problema secondario. L’epilessia primaria è una forma di epilessia in cui non si riconosce una causa e che insorge già durante l’età infantile o adolescenziale, mentre al contrario l’epilessia secondaria è causata sempre da una patologia sottostante ed insorge comunemente dopo i 40 anni. L’epilessia secondaria potrebbe essere dovuta ad un trauma cranico con secondaria formazione di una cicatrice a livello cerebrale, oppure a tumori primitivi dell’encefalo o a tumori metastatici dell’encefalo che sono la causa della crisi epilettica. Lo stesso Plutarco accenna a mal di testa (cefalea) e questo ancor di più indirizza a pensare che Cesare potrebbe aver avuto una lesione cerebrale tumorale come causa delle crisi epilettiche Ebbene Cesare comincia ad avere l’epilessia dal 45 a C cioè meno di un anno prima della sua morta avvenuta per mano dei congiurati. Nell’ultimo periodo della vita Cesare congeda la sua scorta e sebbene ammonito e messo in guardia da Artemidoro e Spurinna egli si reca nella Curia di Pompeo. Sarebbe interessante una riflessione su tutto ciò. Cesare sapeva di stare male e considerava vicina la morte, questo probabilmente lo aveva indotto a non servirsi più della scorta in un momento in cui a Roma sicuramente esisteva una agguerrita fazione anti Cesariana che vedeva tramontare la res publica. Probabilmente ho utilizzato molto la fantasia ma dal punto di vista scientifico mi sono basato su sintomi e segni (cefalee ed epilessia) che Cesare avrebbe avuto negli ultimi mesi della sua esistenza. Contro la mia ipotesi stà di fatto l’intenzione di Cesare di iniziare contro i Parti una lunga guerra. Passo la palla agli amici del Forum. Un caro saluto Adriapel 1 Cita
acraf Inviato 28 Gennaio, 2011 #2 Inviato 28 Gennaio, 2011 Recentemente, sulla rivista "Monete Antiche" di Antonio Morello, n. 54 (Novembre/Dicembre 2010), è apparso un corposo articolo a cura di Sergio Novajra, intitolato "L'evoluzione del ritratto di Cesare sulle monete in vita e dopo la morte", con numerose belle foto di Giulio Cesare che mostrano l'evoluzione del ritratto cesariano sia negli ultimi mesi di vita che dopo la sua morte. Se hai bisogno di una adeguata galleria fotografica consiglio tale articolo. Tuttavia, per rimanere più aderente al tuo tema, esiste un altro studio, con citato da Novajra, del dr. Sergio Macchi, noto medico tcinese, intitolato "Le condizioni di salute di Cesare nel 44 a.C.", in un volumetto "Numismatica sottovoce" edito fuori commercio da Roberto Russo della NAC, in allegato a un recente catalogo di asta della NAC. In quest'ultimo studio Macchi rileva come le monete nel corso del 44 mostrano tratti patologici che indicano un importante dimagramento, una cachessia, che conferma fdiverse onti storiche qui accuratamente analizzate e che accennano a una grave malattia. Oltre alla nota epilessia, pare che negli ultimi tempi soffrisse di crisi di diarrea e di frequenti vertigini. In ogni caso sospetto che Cesare era comunque destinato a una morte naturale a breve scadenza. Allora se erano note le sue reali condizioni di salute, perché fu ugualmente assassinato ? Probabilmente i congiurati non volevano dargli il tempo di organizzare una ordinata successione, che ovviamente contrastava con i piani degli assassini. E' interessante osservare che Augusto, il suo erede, evitò accuratamente nelle sue monete di mostrare i reali lineamenti del suo prozio, salvo alcuni casi al empo delle guerre civili. 1 Cita
adriapel Inviato 28 Gennaio, 2011 Autore #3 Inviato 28 Gennaio, 2011 Giusta osservazione, infatti sembra che Augusto abbia poi fatto censurare ogni documento che accennava alla malattia del suo zio. I sintomi di cui tu accenni e ciò la vertigine fà parte sempre di un corteo di sintomi o segni di alterazione del sistema nervoso centrale (metastasi). L'articolo al quale tu ti riferisci è interessante ed accenna ad una peggioramento della qualità delle monete per la fretta che avrebbero avuto i monetari nel produrle al fine di pagare le milizie che di lì a breve sarebbero dovute essere impiegate nella guerra con i Parti. Comunque è eclatante come l'effigie di Cesare si modifichi in senso peggiorativo nelle serie monetali ultime. un caro saluto Adriapel 1 Cita
Rapax Inviato 28 Gennaio, 2011 Staff #4 Inviato 28 Gennaio, 2011 In aggiunta al preciso intervento di Acraf ti ti segnalo "Cronologia delle monete con il ritratto di Cesare", sempre di Sergio Novajra. Cita Awards
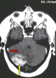
adriapel Inviato 28 Gennaio, 2011 Autore #5 Inviato 28 Gennaio, 2011 Ho letto il libro del quale tu accenni. E' veramente un bel testo. Mi sono però basato su affermazioni di Plutarco ed altri storici che definiscono Cesare in ottima salute e precisamente ci informano che le crisi epilettiche e i mal di testa (cefalee) comparvero la prima volta nel 45 a C quindi un anno prima di morire per mano dei congiurati. Ebbene io credo che Cesare possa aver avuto una lesione cerebrale da tumore primitivo o metastatico che giustificava l'inizio improvviso di questi sintomi e qundi anche lo stato cachettico (dimagramento repentino). Non ho letto il libro di Macchi e non sò quale ipotesi vengano formulate. Riporto una immagine TAC cerebrale che mostra un tumore dell'encefalo. Essendo il cervello racchiuso in una scatola rigida rappresentata dal cranio, qualsiasi lesioni cerebrale è in grado di aumentare la pressione all'interno del cranio e i sintomi che ne derivano sono quelli descritti da Plutarco. Ottaviano nascose debitamente le carte che parlavano dello stato di salute di Cesare Un caro saluto Adriapel. 1 Cita
acraf Inviato 29 Gennaio, 2011 #6 Inviato 29 Gennaio, 2011 Anch'io lavoro nel settore sanitario e farmaceutico e quindi concordo pienamente con le tue acute osservazioni. Il dr. Macchi non ha formuato ipotesi sulla precisa natura patologica che potrebbe avere colpito Cesare, ma fa soprattutto una analisi delle fonti letterarie. Oltre all'aspetto neurologico, rivelato dalle crisi epilettiche e anche da stati di torpore (l'ultimo è avvenuto proprio il giorno prima della morte), si hanno anche seri disturbi intestinali, con diarrea. Che sia un tumore primario o secondario a un carcinoma intestinale, la ritrattistica rivela una progressiva cachessia, con emaciamento dei lineamenti e con maggiori pliche cutanee sul collo smagrito, compatibile con una causa oncologica del deperimento del dittatore. E' probabile che la congiura abbia pugnalato un uomo destinato comunque a una vicina morte, appunto nella speranza di scompaginare i previsti piani di successione. 1 Cita
adriapel Inviato 30 Gennaio, 2011 Autore #7 Inviato 30 Gennaio, 2011 Bene Acraf siamo tutti e due d'accordo su questo punto e io sono d'accordo con te che i disturbi intestinali e la cachessia potrebbero essere dovuti ad un tumore dell'intestino (gastrico o del colon) e le crisi epilettiche una conseguenza di metastasi cerebrali. Consideriamo che Cesare ha vissuto lunghi anni negli accampamenti militari ove il cibo che si consumava era essenzialmente carne ricca di grassi e cucinata sulla brace. L'alto consumo di carne cotta e bruciata sulla brace è uno dei fattori predisponenti al tumore gastrico che è in grado di dare un rapido dimagramento. Dai testi che ho analizzato si parlava di cefalea e crisi epilettiche,quale autore fa riferimento alla presenza di diarrea e cachessia?. Non è escluso che si potrebbe scrivere un articolo su delle ipotesi basate su fatti storici circa la presunta malattia di Cesare e pubblicarle su di una rivista di medicina a nome di tutto il forum di "Lamoneta". Fammi sapere. Un caro saluto Adriapel 1 Cita
acraf Inviato 30 Gennaio, 2011 #8 Inviato 30 Gennaio, 2011 E' un'ottima idea scrivere un articolo di sfondo clinico sulle condizioni di salute di Cesare. Volentieri ti posso aiutare. Ciao Acraf Cita
acraf Inviato 30 Gennaio, 2011 #9 Inviato 30 Gennaio, 2011 Mi dimenticavo di aggiungere che a livello clinico esiste un ottimo articolo, pubblicato sulla rivista "Epilepsy & Behaviour", che si interroga sulla possibile eziologia dei noti attacchi di epilessia di Giulio Cesare. Allego il link: http://www.sciencedirect.com/science?_ob=ArticleURL&_udi=B6WDT-4CX14NJ-1&_user=10&_coverDate=10%2F31%2F2004&_rdoc=1&_fmt=high&_orig=search&_origin=search&_sort=d&_docanchor=&view=c&_searchStrId=1624558221&_rerunOrigin=google&_acct=C000050221&_version=1&_urlVersion=0&_userid=10&md5=2d16a7412a7e807471671545d737dfd2&searchtype=a Egli suggerisce una base ereditaria di tale malattia. Non ho l'articolo e non so se parla anche del suo deperimento organico alla vigilia dell'assassinio, ma credo che si sia limitato ai sintomi di epilessia, che credo siano stati sempre presenti in Cesare, seppure in forma sporadica. in precedenza c'è stato un noto articolo di: P. Donnadieu, La prétendue épilepsie de Jules César. Memo. Soc. Nat. Antiq. Fr. 80 (1937), pp. 27–36, citato nel suddetto studio e anche in parte tradotto e commentato, con bibliografia, da Sergio Novajra su Monete Antiche n. 4 Luglio/Agosto 2002. E' un vecchio articolo del 1937, difficilissimo da reperire, ma acquistabile da: http://webcache.googleusercontent.com/search?q=cache:9EeNtBShLpMJ:www.galaxidion.com/home/catalogues.php%3FLIB%3Dpicard%26CAT%3D183980+Donnadieu+La+pretendue+epilepsie+de+Jules+Caesar&cd=2&hl=it&ct=clnk&gl=it&client=firefox-a&source=www.google.it Comunque ti consiglio di contattare Antonio Morello, editore di Monete Antiche, per avere quel numero, se ti manca. Infine esiste uno splendido libro di Régis Martina, I Dodici Cesari, ed. 1994, che, tra l'altro, tratta anche della malattia di Cesare, con relativa ottima bibliografia. Credo che ci sia tutto..... Cita
adriapel Inviato 30 Gennaio, 2011 Autore #10 Inviato 30 Gennaio, 2011 L'articolo di Hughes su Epilepsy considera l'epilessia di Cesare come primitiva quindi su base ereditaria. Domani potrò averlo come full text. Comunque ti ho inviato un messaggio privato e così si potrebbe impostare un lavoro di revisione. Io credo che siano fondamentali le revisioni dei testi latini come Plutarco "vite parallele" oppure Svetonio Ces XVL. Un caro saluto Adriapel Mi dimenticavo di aggiungere che a livello clinico esiste un ottimo articolo, pubblicato sulla rivista "Epilepsy & Behaviour", che si interroga sulla possibile eziologia dei noti attacchi di epilessia di Giulio Cesare. Allego il link: http://www.sciencedirect.com/science?_ob=ArticleURL&_udi=B6WDT-4CX14NJ-1&_user=10&_coverDate=10%2F31%2F2004&_rdoc=1&_fmt=high&_orig=search&_origin=search&_sort=d&_docanchor=&view=c&_searchStrId=1624558221&_rerunOrigin=google&_acct=C000050221&_version=1&_urlVersion=0&_userid=10&md5=2d16a7412a7e807471671545d737dfd2&searchtype=a Egli suggerisce una base ereditaria di tale malattia. Non ho l'articolo e non so se parla anche del suo deperimento organico alla vigilia dell'assassinio, ma credo che si sia limitato ai sintomi di epilessia, che credo siano stati sempre presenti in Cesare, seppure in forma sporadica. in precedenza c'è stato un noto articolo di: P. Donnadieu, La prétendue épilepsie de Jules César. Memo. Soc. Nat. Antiq. Fr. 80 (1937), pp. 27–36, citato nel suddetto studio e anche in parte tradotto e commentato, con bibliografia, da Sergio Novajra su Monete Antiche n. 4 Luglio/Agosto 2002. E' un vecchio articolo del 1937, difficilissimo da reperire, ma acquistabile da: http://webcache.googleusercontent.com/search?q=cache:9EeNtBShLpMJ:www.galaxidion.com/home/catalogues.php%3FLIB%3Dpicard%26CAT%3D183980+Donnadieu+La+pretendue+epilepsie+de+Jules+Caesar&cd=2&hl=it&ct=clnk&gl=it&client=firefox-a&source=www.google.it Comunque ti consiglio di contattare Antonio Morello, editore di Monete Antiche, per avere quel numero, se ti manca. Infine esiste uno splendido libro di Régis Martina, I Dodici Cesari, ed. 1994, che, tra l'altro, tratta anche della malattia di Cesare, con relativa ottima bibliografia. Credo che ci sia tutto..... Cita
Mirko8710 Inviato 30 Gennaio, 2011 #11 Inviato 30 Gennaio, 2011 Io ci capisco ben poco a riguardo, ma leggerei un eventuale articolo con molto, molto piacere... Cita Awards
adriapel Inviato 30 Gennaio, 2011 Autore #12 Inviato 30 Gennaio, 2011 Caro Mirko speriamo che noi del Forum lamoneta possiamo in un futuro prossimo fare questo benedetto articolo. Ho visto che gia in un post del 2008 si era accennato a tale problema e lo stesso caisuplinius aveva dato una interessantissima spiegazione su tale argomento. Sicuramente Cesare sapeva di morire aveva rinunciato alla scorta e neppure Calpurnia lo aveva fermato alle Idi di marzo. Egli sapeva che quel giorno sarebbe diventato il DIO di Roma e che sicuramente non sarebbe morto della malattia che portava dentro. Si è comportato da vero uomo e si è immolato. La questione è quale malattia lo corrodeva. I monetari lo avevano raffigurato come un uomo magro e spento e ciò ci fa presagire che se di malattia si doveva trattare si trattava di una malattia seria. Io credo che si debba fare una analisi delle date in cui ha avuto le crisi epilettiche e altri sintomi solo così si potrebbe ipotizzare in maniera non approssimativa la malattia di cui Cesare soffriva. Sappiamo che le crisi convulsive erano state 4, sappiamo che aveva altri sintomi come cefalea, dimagamento e diarrea, sappiamo che aveva vissuto e mangiato come mangiano i soldati, sappiamo che aveva girato il mondo e quindi anche il bacino del mediterraneo. Mettendo in discussione tutti questi elementi si potrebbe arrivare ad una conclusione (sebbene ipotetica). La mia difficoltà è reperire i passaggi degli Autori latini e greci ove si parla di Cesare e dei suoi sintomi. Mi ha fatto comunque piacere il tuo intervento il quale mostra una estrema curiosità e una intelligenza che perlatro mostri sempre nei tuoi illuminati interventi Un caro saluto Adriapel Cita
L. Licinio Lucullo Inviato 31 Gennaio, 2011 #13 Inviato 31 Gennaio, 2011 Egli sapeva che quel giorno sarebbe diventato il DIO di Roma Più che altro secondo me, da consumato e capacissimo politico qual era, penserei che abbia manovrato per far evolvere la Repubblica nel senso da lui voluto, ovvero ciò che Mommsen ha definito una "monarchia democratica" e noi oggi chiamiamo "Principato". Credo che abbia immaginato che, se riusciva a "farsi uccidere", i suoi eredi avrebbero saputo sfruttare l'occasione per far naufragare la causa di Bruto e Cassio, come in effetti è avvenuto. Del resto, la grandezza e sopravvivenza di Roma, a quell'epoca, valeva ancora, per uno come Cesare, più della sua stessa vita, in particolare se sapeva che quella vita sarebbe durata solo pochi mesi e lo avrebbe esposto a derisione per la degenerazione delle sue condizioni fisiche. In questo conteso, ciò che non mi spiego, tuttavia, è il motivo per cui abbia preparato in tali condizioni la campagna partica. Forse, se non riusciva a farsi ammazzare a Roma, prevedeva di cadere eroicamente in battaglia; negli sconfinati deserti mesopotamici sarebbe persino riuscito a imbastire una finta e, in ogni caso, i Romani non avrebbero assistito al suo deperimento fisico. Una considerazione "Numismatica". La comparsa dell'effige di Cesare sulle monete fu invocata come una delle scuse per decretarne la morte, eppure Bruto non disdegnò di fare la stessa cosa appena potè: chiaro indizio che gli interessi di parte giocarono, nell'uccisione di Cesare, più del decantato amore per la Repubblica 1 Cita
caiuspliniussecundus Inviato 31 Gennaio, 2011 #14 Inviato 31 Gennaio, 2011 La grandezza della monetazione romana sta anche nel suo realismo, portato al punto di non avere paura di mostrare la bruttezza, la vecchiaia o le malattie. Sui volti degli imperatori leggiamo molte cose sul loro stato di salute: obesità, acromegalia, disturbi della personalità, miopia elevata. Nel caso di Cesare sono evidenti i segni di una cachessia di origine quasi sicuramente neoplastica. Tuttavia, sono sempre stato restìo a considerare Cesare affetto da neoplasia cerebrale. Troppo lucido fino alla fine (la sera prima disse: satis diu vel naturae vixi vel gloriae), troppo teso allo scopo finale, troppo presente nei dialoghi a lui riferiti. Una neoplasia cerebrale non lascia così tranquilli (è anche vero che dipende dalla collocazione), comporta segni neurologici gravi che ci sarebbero stati riferiti dalle fonti. D’altro canto mi risulta strana anche l’ipotesi del carcinoma gastrico con metastasi cerebrali. Sono malattie che ti spazzano via in un attimo. Quando arrivi allo stadio delle metastasi nel cervello poi non se ne parla, soprattutto 2000 anni fa senza chemioterapie che ti allungano la vita di qualche mese. Secondo me il tumore di Cesare era qualcosa di strano, di raro, di difficile diagnosi anche adesso. A lenta crescita, se ha avuto più di un anno di tempo per manifestarsi senza indebolirlo oltremodo (era ancora in forze, sebbene dimagrito, stava preparando una campagna militare ed era comunque in piena attività, oltretuttosi ribellò come una furia ai suoi assalitori che lo hanno vinto solo per il numero). Sembrerà folle ma io penso ad un neuroblastoma (o altro tumore neuroendocrino) per la presenza di diarrea, che potrebbe essere dovuta a ipersecrezione del peptide intestinale vaso-attivo (VIP). Altri sintomi sono richiesti, è vero, non diversamente del resto per la collocazione di una neoplasia cerebrale di altra origine. (i neuroblastomi sono patologie tipiche dell’infanzia, ma raramente colpiscono anche gli adulti e i sintomi paraneoplastici sono abbondanti, come in questo caso.) Il bello dello studio delle monete è che queste provengono direttamente dal passato senza interpretazioni, interpolazioni né mistificazioni. Le monete riportano una vera e propria istantanea del volto di Cesare, veritiera ma anche inquietante. Gli storici invece, lo sappiamo bene, ci hanno raccontato tutti una storia diversa, per accomodarla alle loro tesi o simpatie. Solo interpolando l’una e le altre si può giungere ad una diagnosi “probabile”. 1 Cita
acraf Inviato 31 Gennaio, 2011 #15 Inviato 31 Gennaio, 2011 In effetti c'è qualcosa di strano nell'evoluzione della malattia di Cesare. Sono curioso di leggere il lavoro di Hughes, che ipotizza una base familiare della nota epilessia di Cesare. Secondo Plutarco (Ces. 17, 2-4) in realtà ebbe il primo attacco di epilessia alla vigilia della battaglia di Tapso, nel 46 a.C. (quindi due anni prima) e non pare compatibile con una forma familiare, nella quale insorge anche durante l'infanzia o adolescenza. Si potrebbe ipotizzare una forma tumorale cerebrale, ma benigna, come ad esempio un meningioma, che quindi potrebbe avere sì causato mal di testa e sporadici attacchi epilettici, magari più frequenti negli ultimi tempi (Svetonio, Ces. 45, 1-2 dice che: "negli ultimi tempi però capitava spesso che perdesse i sensi e si svegliasse di soprassalto dal sonno, in preda ad incubi. Fu anche colpito da attacchi epilettici due volte in pubblico") ma non la diretta causa di morte, che invece potrebbe essere imputata a livello intestinale. Un carcinoma intestinale non ha sempre un decorso molto rapido (magari originando da un polipo intestinale poi degenerato a neoplasia, anche a seguito della dieta militare ricca di carne alla brace), ma causa sempre una cachessia. Dione (44, 8, 3) rivela che "Cesare era ormai incapace di dominare il ventre, affetto com'era da diarrea", con conseguente deperimento organico di cui l'epilessia era completamente estranea. 1 Cita
caiuspliniussecundus Inviato 31 Gennaio, 2011 #16 Inviato 31 Gennaio, 2011 Nell'ottica di pubblicare uno studio unificato sulla malattia di Cesare, potremmo anche sentire un certo numero di cattedratici (medici, s'intende) e avere un loro parere. Dovremmo creare una sorta di cartella clinica del "paziente" e magari ognuno potrebbe sentire qualche oncologo di sua conoscenza. Io posso muovermi nella zona Milano - Pavia. Cita
adriapel Inviato 31 Gennaio, 2011 Autore #17 Inviato 31 Gennaio, 2011 Un altra ipotesi pubblicata recentemente nel 2010 che ho analizzato attentamente è quella di una cisticercosi cerebrale cioè una malattia dovuta all'ingestione di uovo di tenia solium. Tale malattia si contrae ingerendo cibi che contengono le uova della tenia come il maiale. Tali uova si localizazano a livello di tutti gli apparati ma in particolare a livello cerebrale formando delle cisti parassitarie responsabili di crisi epilettiche a distanza di 2-6 anni da quando si ha contratto la malattia Ebbene l'ipotesi dell'Autore è quella che Cesare abbia contratto la malattia durante il suo soggiorno in Egitto. Infatti in Egitto la malattia è molto diffusa ed è stata ritrovata recentemente in mummie egiziane sottoposte ad un esame parassitologico e microbiologico. In realtà il maiale era un cibo molto consumato dai romani specie nei bivacchi militari. Ritendo quindi che questa possa essere un altra ipotesi del male di Cesare. Vi è da sottolineare come, e qui sia acraf che caisuplinius ci erano arrivati, una lesione cerebrale metastatica presuppone una breve sopravvivenza, e la prima crisi convulsiva si ha a Tapso (Plutarco la descrive molto bene in vite parallele passo 53.6) quindi più di 2 anni prima della morte di Cesare. i sintomi intestinali potrebbero accordarsi anche con l'ipotesi della cisticercosi. Sull'ipotesi del neuroendocrino ebbene questo spiegherebbe i sintomi intestinali dovuti all'aumento di alcune sostanze che inducono la diarrea ma non sulla lesione cerebrale che è rara. UN CARO SALUTO Adriapel Cita
adriapel Inviato 31 Gennaio, 2011 Autore #18 Inviato 31 Gennaio, 2011 Scusa Caius stavo rispondendo e non ho visto il tuo post. Si è quello che stiamo facendo. Io sono un internista-infettivologo e credo che sia importante vagliare più ipotesi e poi discuterle. Acraf mi ha inviato molto materiale su cui stiamo lavorando e se dobbiamo fare un lavoro credo che vada coinvolto tutto il forum. un caro saluto B per acraf ti ho inviato un messaggio personale perchè questa sera la mia email non ne vuole sapere Cita
adriapel Inviato 1 Febbraio, 2011 Autore #19 Inviato 1 Febbraio, 2011 Le testimonianze di Plutarco e di Svetonio sono fondamentali al fine di comprendere la malattia di Cesare. Plutarco nelle vite parallele ci riferisce di due episodi di epilessia quello durante la battaglia di Tapso il 6 febbraio del 46 a C ed un altro episodio che lui definisce il primo a Cordova. Ebbene quest'ultimo episodio potrebbe essere difficile da datare. Potrebbe in realtà fare riferimento alla battaglia di Munda 17 marzo del 45 a C (e quindi non potrebbe essere definito il primo) oppure potrebbe riferirsi al 61 a C quando Cesare era governatore della Spagna Ulteriore e combatteva i Lusitani. Questi fatti cambiano molto la storia della malattia di Cesare perchè se prendiamo per buona la data del 61 a C allora Cesare soffriva da molti anni di epilessia mentre se prendiamo per buona la data del 45 a C allora Cesare ebbe crisi epilettiche ravvicinate. Svetonio poi complica il tutto riferendoci che le crisi convulsive si intensificarono solo negli ultimissimi tempi prima della congiura. Dobbiamo considera che sia Svetonio che Plutarco sono vissuti 100-120 anno dopo la morte di Cesare e quindi attingono le notizie da fonti a noi sconosciute. I disturbi addominali di Cesare sono inoltre altamente contradditori e basati su un singolo fatto avvenuto in Senato. E qui diversi storici come Appio Dione e Nicola Damascano si contraddicono. Io credo che quest'ultimo sintomo non possa essere considerato veritiero e quindi utilizzato per poter comprendere appieno la malattia di Cesare. Le testimonianze sicure derivano dai monetari del tempo che descrivono Cesare sempre più dimagrito e questa è una testimonianza di immagine non negabile. Quest'ultima testimonianza deriva da persone che osservavano direttamente Cesare giorno dopo giorno. La questione della malattia di Cesare si complica ulteriormente?. Un caro saluto Adriapel Cita
cliff Inviato 3 Febbraio, 2011 #20 Inviato 3 Febbraio, 2011 Tuttavia, per rimanere più aderente al tuo tema, esiste un altro studio, con citato da Novajra, del dr. Sergio Macchi, noto medico tcinese, intitolato "Le condizioni di salute di Cesare nel 44 a.C.", in un volumetto "Numismatica sottovoce" edito fuori commercio da Roberto Russo della NAC, in allegato a un recente catalogo di asta della NAC. In quest'ultimo studio Macchi rileva come le monete nel corso del 44 mostrano tratti patologici che indicano un importante dimagramento, una cachessia, che conferma fdiverse onti storiche qui accuratamente analizzate e che accennano a una grave malattia. Oltre alla nota epilessia, pare che negli ultimi tempi soffrisse di crisi di diarrea e di frequenti vertigini. Segnalo che l'interessante articolo proposto da Acraf e' disponibile online qui: NumismaticaSottovoce Cita
adriapel Inviato 3 Febbraio, 2011 Autore #21 Inviato 3 Febbraio, 2011 (modificato) si cliff è veramante un buon articolo che presenta aspetti numismatici legati strettamente ad aspetti di medicina un caro saluto Adriapel Modificato 3 Febbraio, 2011 da adriapel Cita
massi75rn Inviato 5 Marzo, 2011 #22 Inviato 5 Marzo, 2011 (modificato) salve a tutti,il quesito sul vero ritratto di cesare affascina molte persone,per questo voglio solo aggiungere il mio modesto contributo.nell'ultima asta di artemide ad aprile c'e' un denario(116)dove viene scritto "Una delle emissioni più rare e ricercate di Cesare, che ci tramanda forse il migliore dei suoi ritratti.".bene su quest'ultima affermazione non sono totalmente d'accordo,di effige con cesare a mio avviso ne esiste un altra piu' bella,invece se vogliamo analizzare la somiglianza del ritratto con un calco di un antica gemma incisa,possiamo riscontrare delle visibili analogie.confrontatela e' interessante.ciao Modificato 5 Marzo, 2011 da massi75rn Cita
adriapel Inviato 19 Ottobre, 2014 Autore #23 Inviato 19 Ottobre, 2014 Caro Acraf risvegliatomi da un lungo sonno e me ne scuso con tutti voi (comunque mi siete mancati) sarei interessato a riprendere con te e con tutti del forum il discorso dell'articolo di Cesare. Vediamo se nel prossimo periodo siamo in grado di avere più articoli scientifici possibili e quindi imbastire un articolo su più ipotesi fisiopatologiche circa la malattia del nostro Cesare. L'articolo potrebbe essere pubblicato a nome del forum di La Moneta. Essendo Editor di alcune riviste come il Journal of Medical Case Report si potrebbe proporre lì. Potremmo dividerci i compiti. Pensiamoci Un caro saluto Adriapel Cita
acraf Inviato 19 Ottobre, 2014 #24 Inviato 19 Ottobre, 2014 Ben tornato Adriapel! In effetti avevo pure io trascurato l'argomento della possibile patologia sofferta da Cesare nei suoi ultimi anni. Bisogna intanto procedere alla raccolta di tutta la bibliografia sull'argomento e alcuni lavori erano stati citati nel mio post # 9. Adesso ci sono "I Quaderni di La Meoneta", che potrebbe ospitare un articolo, eventualmente in versione italiana, mandando quella definitiva in inglese a una rivista medica, come il Journal of Medical Case Report. Vediamo come dividerci il lavoro…. Cita
Legio II Italica Inviato 20 Ottobre, 2014 #25 Inviato 20 Ottobre, 2014 (modificato) Ciao @@adriapel , in rete c'e' un interessante articolo dell' Universita' di Pisa sull' argomento , che pero' non e' possibile riprodurre , occorre quindi cercarlo in rete , sotto il titolo da cercare : Perche' Cesare era epilettico ? - Paleopatologia Modificato 20 Ottobre, 2014 da Legio II Italica Cita
Risposte migliori
Unisciti alla discussione
Puoi iniziare a scrivere subito, e completare la registrazione in un secondo momento. Se hai già un account, accedi al Forum con il tuo profilo utente..